Call Us
(781) 944-6761
Book
Online
Call Us
(781) 944-6761
Book
Online

Jaw Bone Loss and Deterioration

 Jaw Bone Loss and Deterioration
Reading MA

The following are the most common causes for jaw bone deterioration and loss that may require a bone grafting procedure:

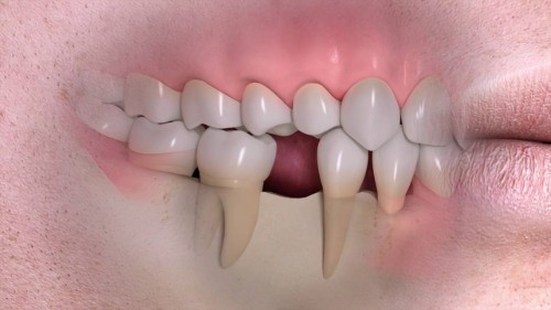
Tooth Extractions

When an adult tooth is removed and not replaced, jaw bone deterioration may occur. Natural teeth are embedded in the jaw bone and stimulate the jaw bone through activities such as chewing and biting. When teeth are missing, the alveolar bone, or the portion of the jaw bone that anchors the teeth in the mouth, no longer receives the necessary stimulation and begins to break down, or resorb. The body no longer uses or “needs” the jaw bone, so it deteriorates and goes away.

The rate that the bone deteriorates, as well as the amount of bone loss that occurs, varies greatly among individuals. However, most loss occurs within the first eighteen months following the extraction and will continue gradually throughout your life.

Periodontal Disease

Periodontal diseases are ongoing infections of the gums that gradually destroy the support of your natural teeth. Periodontal disease affects one or more of the periodontal tissues: alveolar bone, periodontal ligament, cementum, or gingiva. While there are many diseases that affect the tooth-supporting structures, plaque-induced inflammatory lesions make up the majority of periodontal issues and are divided into two categories: gingivitis and periodontitis. While gingivitis, the less serious of the diseases, may never progress into periodontitis, it always precedes periodontitis.

Dental plaque is the primary cause of gingivitis in genetically-susceptible individuals. Plaque is a sticky colorless film, composed primarily of food particles and various types of bacteria, that adheres to your teeth at and below the gum line. Plaque constantly forms on your teeth, even minutes after cleaning. Bacteria found in plaque produces toxins, or poisons, that irritate the gums. Gums may become inflamed, red, swollen, and bleed easily. If this irritation is prolonged, the gums will separate from the teeth causing pockets (spaces) to form. If daily brushing and flossing is neglected, plaque can harden into a rough, porous substance known as calculus (or tartar). This can occur both above and below the gum line.

Periodontitis is affected by bacteria that adheres to the tooth’s surface, along with an overly aggressive immune response to these bacteria. If gingivitis progresses into periodontitis, the supporting gum tissue and bone that hold teeth in place deteriorates. The progressive loss of this bone, the alveolar, can lead to the loosening and subsequent loss of teeth.

Dentures/Bridgework

Unanchored dentures are placed on top of the gum line, but they do not provide any direct stimulation to the underlying alveolar bone. Over time the lack of stimulation causes the bone to resorb and deteriorate. Because this type of denture relies on the bone to hold them in place, people often experience loosening of their dentures and problems eating and speaking. Eventually, bone loss may become so severe that dentures cannot be held in place with strong adhesives, and a new set of dentures may be required. Proper denture care, repair, and refitting are essential to maintaining oral health.

Some dentures are supported by anchors, which do help adequately stimulate, and therefore preserve bone.

With bridgework, the teeth on either side of the appliance provide sufficient stimulation to the bone, but the portion of the bridge that spans the gap where the teeth are missing receives no direct stimulation. Bone loss can occur in this area.

By completing a bone graft procedure, is now able to restore bone function and growth, thereby halting the effects of poor denture care.

Facial Trauma

When a tooth is knocked out or broken to the extent that no biting surface is left below the gum line, bone stimulation stops, which results in jaw bone loss. Some common forms of tooth and jaw trauma include: teeth knocked out from injury or accident, jaw fractures, or teeth with a history of trauma that may die and lead to bone loss years after the initial trauma.

A bone grafting procedure would be necessary to reverse the effects of bone deterioration, restoring function and promoting new bone growth in traumatized areas.

Misalignment

Misalignment issues can create a situation in the mouth where some teeth no longer have an opposing tooth structure. The unopposed tooth can over-erupt, causing deterioration of the underlying bone.

Issues such as TMJ problems, normal wear-and-tear, and lack of treatment can also create abnormal physical forces that interfere with the teeth’s ability to grind and chew properly. Over time, bone deterioration can occur where the bone is losing stimulation.

Osteomyelitis

Osteomyelitis is a type of bacterial infection in the bone and bone marrow of the jaw. This infection leads to inflammation, which can cause a reduction of blood supply to the bone. Treatment for osteomyelitis generally requires antibiotics and the removal of the affected bone. A bone graft procedure may be required to restore bone function and growth lost during removal.

Tumors

Benign facial tumors, though generally non-threatening, may grow large and require the removal of a portion of the jaw. Malignant mouth tumors almost always spread into the jaw, requiring the removal of the affected section of the jaw. In both cases, reconstructive bone grafting is usually required to help restore normal function to the jaw. Grafting in patients with malignant tumors may be more challenging because treatment of the cancerous tumor generally requires removal of the surrounding soft tissues as well.

Developmental Deformities

Some conditions or syndromes are characterized by missing portions of the teeth, facial bones, jaw or skull. Dr Iebba may be able to perform a bone graft procedure to restore bone function and growth where it may be absent.

Sinus Deficiencies

When molars are removed from the upper jaw, air pressure from the air cavity in the maxilla (maxillary sinus) causes resorption of the bone that formerly helped keep the teeth in place. As a result, the sinuses become enlarged, a condition called hyperpneumatized sinus.

This condition usually develops over several years and may result in insufficient bone from the placement of dental implants. Dr Iebba can perform a procedure called a “sinus lift” that can treat enlarged sinuses.