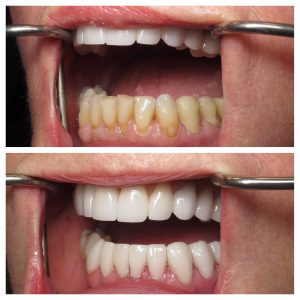
Porcelain Veneers Post Op

Do not eat for at least 2 hours or until the anesthesia has worn off.
Temporary:
Temporaries are acrylic or composite veneers that are placed on the prepared teeth for protection during the time the porcelain veneers are constructed in the lab. A temporary serves several important purposes: it protects the exposed dentin to minimize sensitivity, prevents the tooth from shifting, and last but not least, restores tooth contour and appearance. The temporary is placed with cement that is designed to come off easily so avoid chewing sticky foods such as gum or taffy. Use your toothbrush to clean the temporary as you normally do your natural teeth. You may also floss or, if there is more than one veneer and the temporaries are fused, you may need a floss threader. To avoid loosening the temporary, it is best to pull the floss through the contact rather than pulling it down through the contact.
If your temporary comes off between appointments, slip it back on and call our office so that we can recement it for you. A small amount of denture adhesive placed inside the veneer can help to hold it in place in the interim.
Sensitivity:
Sensitivity, especially to cold, is common for a time following treatment.
For the first few days avoid extremely hot or cold foods and beverages. If your gums were recontoured during treatment they may be tender after the anesthesia wears off. Rinsing with warm salt water by dissolving 1/2 teaspoon of salt in 8 oz. of warm water will help. An analgesic such as Tylenol or Advil will also increase your level of comfort.
Your New Smile:
After the cementation of your porcelain veneers, it may take a few days to get used to the new veneers. Your bite and the way your teeth come together may feel different, especially if we changed the length, shape and/or thickness of your teeth. If your bite feels unbalanced, please be sure to call our office for an appointment to make an adjustment.
Home Care:
To maintain the veneers and your new smile, it is important to remember that the underlying teeth are still vulnerable to decay, especially at the gumline where the tooth and veneer meet. It is important to resume regular brushing and flossing immediately. Daily home care and regulating your intake of sugar-containing foods will increase the longevity of your new restorations.